Clínica dental especializada en bruxismo en Rianxo

Clínica dental especializada en bruxismo en Rianxo

¿Cómo puede saber si padece de bruxismo?

Dolor al despertar

Siente dolor en los músculos de la masticación al despertar, junto a dolores de cabeza frecuentes.

Rechinar de dientes

Realiza ruidos o rechinidos al dormir, generando un problema en los hábitos nocturnos.

Desgaste del esmalte

Su esmalte dental se ha desgastado hasta el cuello del diente, apareciendo como si faltara una cuña.

Sensibilidad dental

Siente sensibilidad en los dientes debido al desgaste del esmalte y la presión ejercida durante la noche.

¿Qué es y cómo tratamos en Rianxo Dental el bruxismo?

El bruxismo es el apretamiento o desgaste de los dientes causado por la activación involuntaria de los músculos de la mandíbula, normalmente durante la noche mientras duerme.

Este problema puede tener varias causas, pero suele intensificarse en momentos de estrés. En nuestra clínica dental en Rianxo efectuamos un estudio completo y personalizado de su caso de bruxismo, para así ofrecerle el tratamiento más adecuado para proteger sus dientes y mejorar su comodidad.

¿Qué es y cómo tratamos en Rianxo Dental el bruxismo?
¡Diga adiós al rechinar de dientes con nuestra ayuda!

¡Diga adiós al rechinar de dientes con nuestra ayuda!

En Rianxo Dental le ofrecemos un diagnóstico rápido y soluciones eficaces para el bruxismo nocturno.

Contáctenos

Conozca con Rianxo Dental los riesgos del bruxismo

Desgaste y reconstrucción dental

Aunque las consecuencias iniciales pueden ser leves, como pequeños desgastes, si el bruxismo avanza, puede ser necesaria una reconstrucción total de los dientes para devolverles su forma y función.

Rotura y problemas musculares

El apretamiento constante puede provocar que los dientes se fracturen e incluso sea necesaria su extracción. Además, genera fatiga muscular y alteraciones en la articulación temporomandibular, donde gira la mandíbula.

Riesgo de complicaciones

La presión sobre la musculatura puede afectar de forma severa a la articulación temporomandibular, empeorando los efectos del bruxismo y aumentando el riesgo de complicaciones en su dentadura.

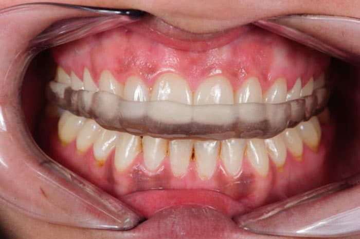
¿Cómo tratar el bruxismo en nuestra clínica en Rianxo?

¿Cómo tratar el bruxismo en nuestra clínica en Rianxo?

En Rianxo Dental elaboramos una placa de descanso plástica y rígida para que las fuerzas se disipen. Después hay tratamientos menos convencionales que dependerán de cada caso, desde la relajación muscular a la aplicación de bótox para reducir la fuerza muscular.

En nuestra clínica dental en Rianxo le ofrecemos los mejores tratamientos para acabar con el bruxismo. Si sufre de bruxismo, póngase en contacto con nosotros y trasládenos todas sus dudas.

Le ofrecemos tranquilidad y confort mientras duerme

Proteja sus dientes y alivie la tensión mandibular con un plan personalizado elaborado por Rianxo Dental.