Carillas de porcelana en Rianxo

Carillas de porcelana en Rianxo

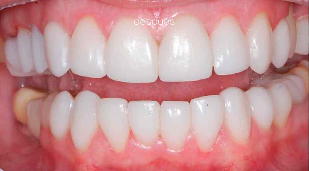
Luzca una sonrisa más estética con nuestras carillas de porcelana de alta calidad.

Reciba información

Ventajas de nuestras carillas de porcelana en Rianxo

Solución estética y funcional

Corrigen dientes rotos, torcidos o desalineados, devolviendo una sonrisa armoniosa y natural.

Durabilidad y resistencia

Fabricadas con materiales de alta calidad, son fuertes y resistentes, ofreciendo resultados duraderos.

Variedad de colores y grosores

Se adaptan a sus necesidades estéticas con diferentes tonalidades y grosores para lograr un resultado perfecto.

Mantenimiento sencillo

Se limpian fácilmente con la higiene dental diaria y mantienen su brillo natural durante mucho tiempo.

Con nuestros dentistas su sonrisa perfecta es posible

En Rianxo Dental, clínica de estética dental, somos especialistas en carillas de porcelana y para llevarlas a cabo, trabajamos con tecnología de última generación en Rianxo.

Las carillas de porcelana pueden ser una solución estética ideal para dientes fracturados, descoloridos o ligeramente mal alineados. Con los cuidados apropiados, las carillas van a mejorar mucho su aspecto y aumentarán su seguridad en el trato con otras personas.

Con nuestros dentistas su sonrisa perfecta es posible
Dientes perfectos y cuidado mínimo con Rianxo Dental

Dientes perfectos y cuidado mínimo con Rianxo Dental

Nuestras carillas en Rianxo son duraderas, resistentes y fáciles de mantener, para que su sonrisa luzca perfecta día tras día.

Solicitar carillas

Explore nuestras opciones de carillas de porcelana

Carillas ultrafinas

Fabricadas con porcelana inyectada, son de alta calidad y gran resistencia, ofreciéndole un acabado natural y duradero en nuestra clínica dental en Rianxo.

Carillas de zirconio

Destacan por su dureza y resistencia. Se utilizan en casos específicos que el equipo de dentistas de Rianxo Dental evaluará para asegurar el mejor resultado.

Carillas de disilicato de litio

Combinan vidrio y cerámica, proporcionando una opción estética y muy resistente para quienes buscan una sonrisa perfecta y duradera.

¿Cuánto tiempo duran las carillas de porcelana?

¿Cuánto tiempo duran las carillas de porcelana?

Aunque los profesionales de Rianxo Dental garantizamos la máxima duración en las carillas que colocamos en Rianxo, el tiempo de permanencia depende en gran medida del material con el que están elaboradas.

Mientras que las carillas de composite tienen una duración de entre siete y diez años, la de las carillas de porcelana va entre los diez y los quince años. Si quieres un presupuesto personalizado para colocar carillas en nuestra clínica dental en Rianxo, póngase en contacto con nosotros.

Renueve su sonrisa en un solo paso con Rianxo Dental

Transforme con nuestros dentistas en Rianxo su sonrisa con carillas de porcelana para un cambio visible y duradero.