Expertos en implantes dentales en Rianxo

Expertos en implantes dentales en Rianxo

Recupere la funcionalidad y la estética de su sonrisa con tratamientos de implantes seguros y personalizados.

Solicite su consulta
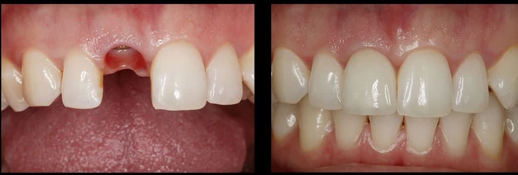
Rianxo Dental encontrará solución a su falta de dientes

Rianxo Dental encontrará solución a su falta de dientes

En nuestra clínica dental en Rianxo realizamos la colocación de prótesis fijadas sobre implantes dentales, ofreciendo a nuestros pacientes la oportunidad de recuperar una sonrisa completa y funcional.

Las prótesis sobre implantes dentales son actualmente el método más moderno y efectivo para solucionar la falta de uno o varios dientes. Muchos de nuestros pacientes aseguran que resultan mucho más confortables, seguras y eficientes que las prótesis convencionales, permitiéndoles recuperar la confianza y la calidad de vida.

Beneficios de nuestros implantes dentales en Rianxo

En Rianxo Dental ofrecemos el tratamiento de implantes dentales. Este es totalmente indoloro y de larga duración, convirtiéndose en una inversión segura para el futuro de su sonrisa.

  • Tratamiento indoloro y seguro.
  • Resultados duraderos a largo plazo.
  • Gran comodidad para comer y hablar con normalidad.
  • Recuperación de la confianza y autoestima.
  • Posibilidad de sonreír libremente en cualquier momento.
Beneficios de nuestros implantes dentales en Rianxo
¡Vuelva a disfrutar de una dentadura sana!

¡Vuelva a disfrutar de una dentadura sana!

Con los implantes dentales de Rianxo Dental podrá comer, hablar y vivir con total comodidad y seguridad.

Solicite presupuesto

Conozca su plan de implantes a medida

Conozca su plan de implantes a medida

En Rianxo Dental sabemos que cada paciente es único, por eso elaboramos presupuestos totalmente personalizados para sus tratamientos de implantes dentales en Rianxo. Nuestro objetivo es ofrecerle un plan adaptado a sus necesidades, expectativas y situación concreta, sin compromiso alguno. De esta manera, podrá conocer de forma clara y transparente todas las opciones disponibles antes de tomar una decisión.

Un presupuesto personalizado le permite conocer con claridad los pasos del tratamiento, los materiales que se emplearán y los tiempos estimados, así como las alternativas disponibles.

¿Cómo actúan los implantes dentales de Rianxo Dental?

Los implantes dentales actúan como raíces artificiales de titanio biocompatible, las cuales se colocan en el maxilar para reemplazar los dientes ausentes. Después de unos meses, nuestros dentistas en Rianxo colocarán una prótesis implanto-soportada sobre los implantes.

A diferencia de la prótesis removible antigua, con los implantes dentales se alcanza una mejor función y estética. Gracias a que dan una mayor estabilidad, mejoran la eficacia masticatoria y la fonética del paciente.

¿Cómo actúan los implantes dentales de Rianxo Dental?

Consiga unos dientes resistentes y duraderos en Rianxo

Los implantes de Rianxo Dental están diseñados para durar, ofreciendo resultados naturales y cómodos.

Descubra la carga inmediata en implantología

Descubra la carga inmediata en implantología

La carga inmediata es una técnica innovadora que utilizamos en Rianxo Dental y que permite colocar una prótesis dental provisional el mismo día en que se insertan los implantes.

Tradicionalmente, se debía esperar varios meses antes de colocar los dientes definitivos, pero con este procedimiento nuestros pacientes en Rianxo pueden recuperar su sonrisa y la función masticatoria en cuestión de horas, siempre que las condiciones clínicas lo permitan.

Carga inmediata en Rianxo: beneficios para su sonrisa

La carga inmediata permite al paciente recuperar tanto la estética como la función masticatoria desde el primer día, evitando esperas prolongadas y devolviendo la sonrisa de manera inmediata. Además, al reducir el número de citas necesarias, el tratamiento resulta más cómodo y práctico.

Este procedimiento también aporta una mejora notable en la autoestima y en la calidad de vida del paciente, ya que brinda seguridad y confianza desde el mismo momento de la intervención, generando una experiencia más positiva en el proceso de rehabilitación dental.

Carga inmediata en Rianxo: beneficios para su sonrisa

¡Descubra nuestras técnicas dentales más innovadoras!

Con la técnica de carga inmediata de Rianxo Dental no tiene que esperar meses para volver a sonreír y disfrutar de sus comidas favoritas.